Hematological Malignancies: Follicular Lymphoma
This article provides a high-level overview of follicular lymphoma (FL), including diagnosis, treatment options, and unmet needs.
This article provides a high-level overview of follicular lymphoma (FL), including diagnosis, treatment options, and unmet needs.
Introduction
Lymphoma represents a heterogeneous group of hematologic malignancies originating from lymphoid tissues. It is broadly categorized into Hodgkin lymphoma (HL) and non-Hodgkin lymphoma (NHL), with NHL being the more prevalent form. Part 1 of this series described diffuse large B-cell lymphoma (DLBCL), its pathophysiology, risk factors, clinical presentation, and treatment options. Part 2 covers FL, the second most prevalent form NHL, accounting for approximately 30% of all lymphoma cases and representing the most common subtype of indolent NHL. Characterized by a slow-growing B-cell lymphoproliferative disorder, FL typically presents in adults and is often diagnosed at an advanced stage. The median age at diagnosis is 64 years, with a rate of 2.5 new cases per 100,000 people per year. The disease's indolent nature leads to a prolonged clinical course, with survival rates extending over several years.
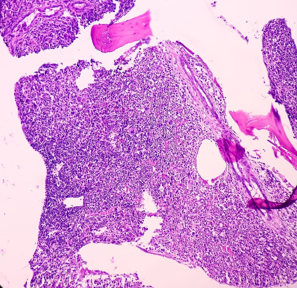
Pathophysiology
FL originates from germinal or follicular center B-cells and is frequently associated with the chromosomal translocation t(14;18)(q32;q21), which leads to the overexpression of the B-cell lymphoma 2 (BCL2) protein. BCL2 functions as an anti-apoptotic protein, contributing to the survival of malignant B-cells. Additional genetic alterations, such as mutations in BCL-6 and EZH2, have been implicated in FL pathogenesis. These mutations disrupt normal B-cell development and contribute to the malignant transformation of B-cells within the germinal center.

Risk Factors
Suspected risk factors are identified below:
- Age: FL predominantly affects adults, with the median age at diagnosis of 64 years.
- Family History: A family history of lymphoma may increase the risk.
- Immunodeficiency: Conditions such as HIV/AIDS and immunosuppressive therapy are associated with an elevated risk of developing FL.
- Environmental Exposures: Exposure to certain chemicals and pesticides has been linked to an increased risk.
Staging and Survival Rates
FL is an incurable, indolent disease typically staged using the World Health Organization (WHO) classification regarding the presence of centroblasts and the Ann Arbor system, with stages I and II considered early-stage and stages III and IV as advanced-stage. The Follicular Lymphoma International Prognostic Index (FLIPI) is the most common prognostic model used to classify risk of recurrence, with a point assigned for each of the following risk factors: nodes >5, lactate dehydrogenase (LDH) > upper limit of normal (ULN), age >60 years, stage 3 or 4, and hemoglobin <12 g/dL.
The disease's indolent nature often results in a prolonged clinical course. The 5-year overall survival (OS) rate for FL is approximately 85%, with a median progression-free survival (PFS) of 6 to 10 years. However, relapses are common, and the disease can transform into a more aggressive form, such as DLBCL, which adversely affects prognosis.

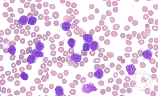
Clinical Presentation
Patients with FL may present with painless lymphadenopathy, often in the cervical, axillary, or inguinal regions. Systemic symptoms, known as B symptoms, including fever, night sweats, and unexplained weight loss, may be present in advanced stages. Extranodal involvement can occur, with the bone marrow, spleen, and gastrointestinal tract being common sites. The disease is often asymptomatic in early stages, leading to its discovery during routine examinations.
Evolution of Treatment Options
Initial Management
In asymptomatic patients with low tumor burden, a watch-and-wait approach is often employed. Other options include involved site radiation therapy (ISRT) or ISRT in combination with an anti-CD20 monoclonal antibody, such as rituximab or obinutuzumab.
For symptomatic or high tumor burden cases, treatment strategies have evolved significantly:
- Chemotherapy and Rituximab: Regimens such as bendamustine + rituximab or obinutuzumab, R-CHOP (rituximab, cyclophosphamide, doxorubicin, vincristine, prednisone), and R-CVP (rituximab, cyclophosphamide, vincristine, prednisone) have been standard treatments.
- Lenalidomide and Rituximab (R²): The combination of lenalidomide and rituximab has emerged as an effective non-chemotherapeutic option, offering a favorable safety profile.
Relapsed/Refractory Disease
For patients with relapsed or refractory FL, below are several novel therapies that have been developed. This list is not all-inclusive, as there are many more options in development.
- CD19 Inhibitors: Tafasitamab-cxix + lenalidomide + rituximab are included in the NCCN guidelines after failure of >1 prior systemic therapy, including an anti-CD20 monoclonal antibody.
- Chimeric Antigen Receptor T-cell Therapy (CAR T-cell Therapy): Axicabtagene ciloleucel, lisocabtagene maraleucel, and tisagenlecleucel are listed within the NCCN guidelines for FL after ≥2 prior systemic therapies, demonstrating high response rates.
- EZH2 Inhibitors: Tazemetostat, an EZH2 inhibitor, has shown efficacy in FL patients with EZH2 mutations.
- Bispecific Antibodies: Agents like mosunetuzumab and epcoritamab engage both CD20 on B-cells and CD3 on T-cells, leading to T-cell-mediated cytotoxicity.
- BTK Inhibitors: Zanubrutinib + obinutuzumab is listed as an option in the 3L+ setting.
These guidelines emphasize personalized treatment approaches, considering factors such as disease stage, genetic mutations, and patient comorbidities.

Unmet Needs
Despite advancements, several challenges remain in the management of FL:
- Optimal Sequencing of Therapies: Determining the most effective sequence of treatments for relapsed or refractory FL is still under investigation.
- Long-Term Outcomes: The long-term efficacy and safety of newer therapies.
- Early Identification of High-Risk Patients: Prognostic factors and biomarkers to help identify transformation into more aggressive lymphomas.
- Treatment Personalization: Some patients may not respond to certain therapies versus other patients.
- Chronic Therapy Burden: Long treatment durations and maintenance therapy (e.g., rituximab maintenance) can impact quality of life.
- Access and Optimization of Novel Therapies: Some agents, like CAR T-cell therapy, can be limited by cost, toxicity, and accessibility. Bispecific antibodies and other immunotherapies are emerging, but optimal sequencing and combinations are unclear.

References
- Kaseb H, Koshy NV. Cancer, Follicular Lymphoma. Nih.gov. Published February 18, 2019. https://www.ncbi.nlm.nih.gov/books/NBK538206/.
- Yang JC, Yahalom J. Early-Stage Follicular Lymphoma: What Is the Preferred Treatment Strategy? Journal of Clinical Oncology. 2018;36(29):2904-2906. doi:https://doi.org/10.1200/jco.2018.79.3075.
- NCCN Clinical Practice Guidelines in Oncology. B-cell Lymphomas. National Comprehensive Cancer Network. Version 2.2025-February 10, 2025.
*Information presented on RxTeach does not represent the opinion of any specific company, organization, or team other than the authors themselves. No patient-provider relationship is created.